Em bé Chu Công Minh Khôi – Thành quả lần đầu chuyển phôi

HỤG

Trước đây khi kỹ thuật nuôi phôi chưa phát triển, bệnh nhân sẽ được chuyển phôi ngày 2, ngày 3. Hay còn gọi là phôi ở giai đoạn phân chia. Lúc đó phôi có 6-8 tế bào. Trong những năm trở lại đây, kỹ thuật nuôi phôi dài ngày càng phát triển tại các Trung tâm HTSS. Tại Viện Mô phôi, chúng tôi luôn ưu tiên nuôi phôi dài ngày trong điều trị hiếm muộn. Điều này xuất phát từ lợi ích nuôi phôi dài ngày đối với quá trình điều trị của bệnh nhân. Dưới đây là một trường hợp bệnh nhân chuyển một phôi ngày 5 – Một em bé khoẻ mạnh. Em bé Chu Công Minh Khôi – Thành quả lần đầu chuyển phôi.

Các giai đoạn phát triển của phôi

Khi tinh trùng của người chồng kết hợp với noãn của người vợ sẽ tạo thành hợp tử. Hợp tử được nuôi cấy trong môi trường thích hợp sẽ phát triển thành phôi.
Người ta thường gọi tên phôi dựa trên số ngày được nuôi cấy. Ví dụ: phôi được nuôi đến ngày thứ 3 sau ngày thụ tinh được gọi là phôi ngày 3, nuôi cấy đến ngày thứ 5 sau ngày thụ tinh thì gọi là phôi ngày 5.

Nuôi cấy phôi là gì?

Nuôi cấy phôi là quá trình nuôi dưỡng trứng đã được thụ tinh với tinh trùng. Việc nuôi cấy diễn ra trong phòng thí nghiệm với môi trường nhân tạo được điều chỉnh phù hợp với các giai đoạn phát triển của phôi thai.

Từ năm 1998, nuôi cấy phôi nang được áp dụng sau thành công của Garder. Nghiên cứu thành công đã giúp kéo dài thời gian nuôi cấy phôi từ 2 – 3 ngày lên 5 – 6 ngày, giúp tế bào phôi thai phân chia được nhiều hơn từ 2 – 8 tế bào lên 60 – 200 tế bào. Điều này đã mở ra một bước ngoặt lớn trong chuyên ngành Hỗ trợ sinh sản.

Các giai đoạn phát triển của phôi

Giai đoạn tiền nhân (ngày 0 và ngày 1)

Các chuyên viên phôi học tiến hành kiểm tra xem trứng và tinh trùng đã thụ tinh hay chưa bằng cách quan sát hình thái của các hạt nhân từ mỗi giao tử nằm cạnh nhau tạo thành tiền nhân (pronuclei) sau 16 – 18 giờ thụ tinh. Ngay sau đó, hai tiền nhân kết hợp với nhau tạo thành ADN của phôi.

Giai đoạn phân chia (Ngày 1 – Ngày 3)

Trong vài giờ tiếp theo, tế bào đầu tiên của phôi bắt đầu phân chia thành 2 tế bào và cứ tiếp tục phân chia như vậy. Sau khoảng 24 giờ có khoảng 4 tế bào, 8 tế bào,…

Ở giai đoạn này, chất lượng phôi sẽ được đánh giá qua hình thái, độ đồng đều, sự phân chia đồng bộ của phôi hoặc độ chiết quang, mật độ hay của bào tương phôi bào. Dựa vào kết quả đánh giá này để quyết định nên chuyển phôi hay nuôi phôi lên ngày 5.

Giai đoạn phôi dâu (Ngày 3 – Ngày 4)

Sau thụ tinh khoảng 3 – 4 ngày, các phân bào của phôi có hình cầu, phôi được gọi là phôi dâu. Ở giai đoạn này cũng bắt đầu xuất hiện các hốc dịch nhỏ ở phôi.

Giai đoạn phôi nang (Ngày 5 hoặc ngày 6)

Giai đoạn này phôi nang đã mở rộng, dịch nang cũng lấp đầy thể tích phôi. Các tế bào của phôi bắt đầu biến đổi phân chia thành 2 khối nội phôi bào và ngoại bì lá nuôi. Khối nội phôi bào sau đó sẽ phát triển thành bào thai, còn khối ngoại bì lá nuôi sẽ phát triển thành nhau thai.

Lợi ích của nuôi phôi dài ngày

Nuôi cấy phôi dài ngày sẽ có khả năng chọn lựa được phôi có khả năng làm tổ cao. Từ đó làm tăng tỷ lệ phôi sống và giảm tỷ lệ đa thai. Việc chuyển phôi ngày 5 đã được áp dụng hơn một thập kỷ qua. Điều này nhằm mục đích chọn được những phôi phát triển đúng tiến độ sớm nhất. Từ đó, chuyển phôi tốt nhất để bệnh nhân có cơ hội mang thai thành công trong điều trị. Tại Viện Mô phôi, chúng tôi luôn ưu tiên nuôi phôi dài ngày.
 

> Bệnh Pompe gây ra những hệ luỵ gì?

>Tại sao 25 tuổi chưa từng sinh con mà dự trữ buồng trứng can kiệt??

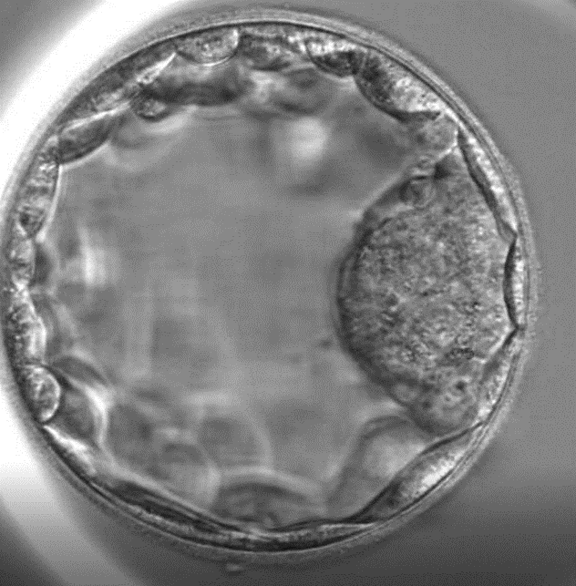
Phoi nang ngày 5
Hình ảnh phôi nang ngày 5.

Tỷ lệ thành công khi chuyển phôi nang như thế nào?

Hiện nay, phôi nang có thể là phôi ngày 5 hoặc phôi ngày 6. Nuôi phôi nang mang lại khả năng thành công cao cho quá trình thụ tinh ống nghiệm.  

Vì sao thường chuyển phôi ngày 5?

  • Tỷ lệ chuyển phôi thành công cao. Phôi ngày 5 có tiềm năng làm tổ cao hơn nhiều so với phôi ngày 3, từ đó chuyển phôi ngày 5 giúp tăng cơ hội có thai cho cặp vợ chồng hiếm muộn.
  • Giảm nguy cơ đa thai. Khi chuyển phôi nang có tiềm năng làm tổ cao thì số lượng phôi cần chuyển sẽ giảm đi. Phần lớn các trường hợp người mẹ chỉ cần chuyển một phôi ngày 5. Từ đó làm giảm nguy cơ đa thai, giảm các biến chứng thai kỳ do da thai gây ra.
  • An toàn hơn khi xét nghiệm di truyền. Việc thực hiện sinh thiết phôi ngày 5 sẽ cung cấp một lượng vật chất di truyền lớn hơn so với phôi ngày 3. Từ đó, kết quả chẩn đoạn di truyền sẽ chính xác hơn. Đồng thời, việc sinh thiết phôi nang lấy đi 3-4 tế bào từ hàng trăm tế bào sẽ ít ảnh hưởng đến quá trình phát triển của phôi 
  • An toàn hơn để đông lạnh phôi và rã đông phôi. 

>Có những phương pháp nào để đánh giá dự trữ buồng trứng hiện nay?

> Độ dày niêm mạc lý tưởng để chuyển phôi là bao nhiêu? 

Hỗ trợ phôi thoát màng
Phôi nang đang thoát màng – một quá trình sinh lý đặc trưng đước khi làm tổ.

Em bé Chu Công Minh Khôi – Thành quả lần đầu chuyển phôi

Đó là trường hợp của vợ chồng chị Hường. Anh chị được chỉ định điều trị thụ tinh trong ống nghiệm tại Viện. Bệnh nhân được chỉ định chuyển phôi đông lạnh. Anh chị được chỉ định chuyển 1 phôi ngày 5 và rất may mắn, bệnh nhân thành công ngay lần đầu chuyển phôi.

Sau khi hai mẹ con chị Hường cán đích thành công, chị chia sẻ niềm vui đến các y bác sĩ:

…Em gửi lời cảm ơn chân thành nhất tới bác sĩ Lan, bác sĩ Sơn và toàn thể các y bác sĩ tại Viện Mô phôi Lâm sàng Quân đội. Nhờ sự tận tâm, chuyên môn và đồng hành của các bác sĩ, em đã được đón con yêu khỏe mạnh – thành quả của cả một hành trình đầy cố gắng và hy vọng ❤️
Em và gia đình vô cùng biết ơn và chúc Viện ngày càng phát triển, mang hạnh phúc đến cho nhiều gia đình hơn nữa ạ!”
 
5ca41a1b6d30e16eb821
Bệnh nhân chia sẻ niềm vui thai kỳ đến bác sĩ.
Viện Mô phôi cảm ơn những chia sẻ của mẹ Hường. Những tin nhắn chia sẻ niềm vui thai kỳ, những cuộc gặp gỡ của các gia đình em bé sau khi điều trị thành công là món quà tinh thần to lớn, là “phần thưởng”, là động lực quý giá để Viện Mô phôi ngày càng phát triển vững mạnh hơn, là điểm đến tin cậy của biết bao gia đình đang mong con.
 
Chúc em bé Minh Khôi luôn mạnh khoẻ, hay ăn chóng lớn nhé!

Để lại một bình luận

Email của bạn sẽ không được hiển thị công khai. Các trường bắt buộc được đánh dấu *

DMCA.com Protection Status